おかげさまで開設25周年AEGISRISKSOLUTIONS.COM 創業祭

AEGISRISKSOLUTIONS.COM

詳しくはこちら
マイストア マイストア 変更
  • 即日配送
  • 広告
  • 取置可能
  • 店頭受取

HOT ! syk ページ QA20B02_PURE_SykPhospho_Antibo

※AEGISRISKSOLUTIONS.COM 限定モデル
YouTuberの皆様に商品の使い心地などをご紹介いただいております!
紹介動画はこちら

ネット販売
価格(税込)

6450

  • コメリカード番号登録、コメリカードでお支払いで
    コメリポイント : 9ポイント獲得

コメリポイントについて

購入個数を減らす
購入個数を増やす

お店で受け取る お店で受け取る
(送料無料)

受け取り店舗:

お店を選ぶ

近くの店舗を確認する

納期目安:

13時までに注文→17時までにご用意

17時までに注文→翌朝までにご用意

受け取り方法・送料について

カートに入れる

配送する 配送する

納期目安:

2025.09.19 0:24頃のお届け予定です。

決済方法が、クレジット、代金引換の場合に限ります。その他の決済方法の場合はこちらをご確認ください。

※土・日・祝日の注文の場合や在庫状況によって、商品のお届けにお時間をいただく場合がございます。

即日出荷条件について

受け取り方法・送料について

カートに入れる

欲しいものリストに追加

欲しいものリストに追加されました

syk ページ QA20B02_PURE_SykPhospho_Antiboの詳細情報

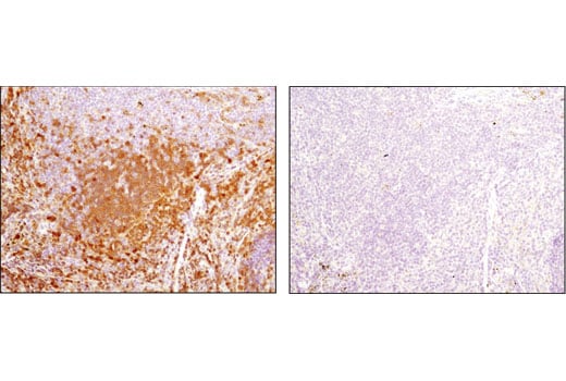
QA20B02_PURE_SykPhospho_Antibo。Syk (D3Z1E) XP® Rabbit mAb | Cell Signaling Technology。ABclonal。この度はオーダーいただきありがとうございます。およそ2週間から3週間ほどで完成致しますのでそれまでお待ちください。完成しましたら、こちらに写真を載せますので、写真を確認後、ご購入お願いいたします。⭐︎レッスンバッグ  縦30cm×横40cm×マチ4cm ・黒ハート×黒ギンガムチェック ・裏地:薄い紫色キルティング⭐︎シューズ入れ  縦30cm×横23cm×マチ4cm ・黒ハート×黒ギンガムチェック ・裏地:薄い紫色キルティング⭐︎お着替え入れ×2 縦35cm×横30cm×マチ4cm ・黒ハート×黒ギンガムチェック (裏地:アイボリー) ・茶色ハート×黒ギンガムチェック  (裏地:アイボリー)⭐︎コップ袋 縦25cm×横20cm×マチなし ・黒ハート×黒ギンガムチェック  (裏地:アイボリー)⭐︎巾着 縦25cm×横16cm×マチなし ・茶色ハート×黒ギンガムチェック  (裏地:茶色)【素材】⭐︎レッスンバッグ、上履き入れ表上:スケアープリント生地表下: サンドウォッシュ ギンガムチェック7mm裏地:キルティング圧縮して発送致しますので、折りシワが付く場合がございますが、ご了承下さい。圧縮によるシワが気になる方は+500円の追加料金にて、箱での発送も対応可能ですので、購入前にコメントください。。お嬢様用 オール手刺繍 クマさんのレッスンバッグ。【※テディベア ※】入園入学セット9点 シャチ柄 黒。dokin☆様 難あり 入園入学4点レッスンバック体操着袋くま柄クラシカルモダン。ファミリア デニムバッグ familiar 筒状で送ります。早い者勝ち!ピンクハウスデニムバッグ
  • QA20B02_PURE_SykPhospho_Antibo
  • Syk (D3Z1E) XP® Rabbit mAb | Cell Signaling Technology
  • ABclonal

同じカテゴリの 商品を探す

ベストセラーランキングです

このカテゴリをもっと見る

この商品を見た人はこんな商品も見ています

近くの売り場の商品

このカテゴリをもっと見る

カスタマーレビュー

オススメ度  4.9点

現在、5509件のレビューが投稿されています。